Sample Images from the Micro CT Facility

Ex vivo imaging of cerebral vasculature with perfused contrast agent (Photo: Marrelli Lab)

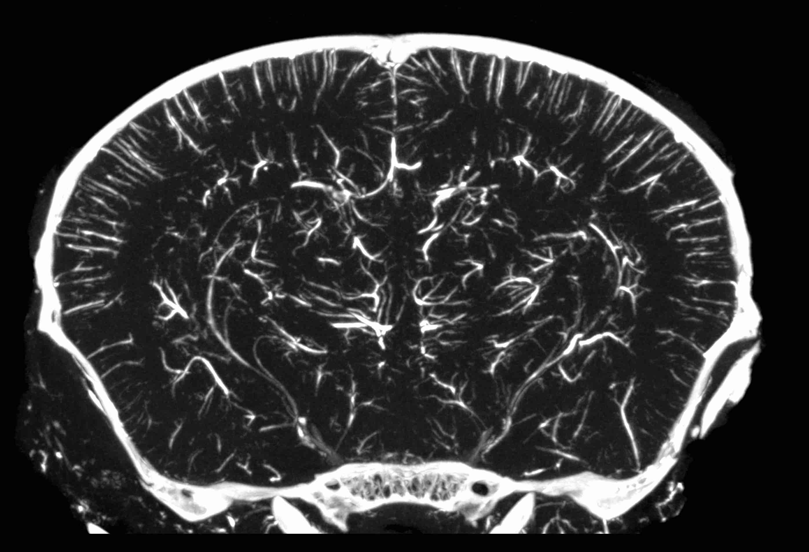
In vivo imaging of mouse cerebral arteries using blood pool contrast agent (Photo: Marrelli Lab)

Mouse kidney with iodine contrast (Photo: Marrelli Lab)

Ex vivo imaging of mouse maxilla, 3D volume rendering (Photo: Marrelli Lab)